La sindrome di Down
La sindrome di Down, conosciuta anche come Trisomia 21, è una condizione genetica congenita. Questa condizione prende il nome dal Dott. John Langdon Down, che ne identificò le caratteristiche per la prima volta nel 1866.
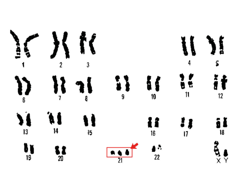
È importante sottolineare che la sindrome di Down non è una malattia, ma piuttosto una differenza genetica con la quale una persona nasce. Con genetica non si intende ereditaria, infatti nel 98% dei casi la sindrome di Down non è ereditaria. Questa condizione è caratterizzata dalla presenza di un cromosoma extra nella coppia cromosoma 21, presente nelle cellule del corpo.
Funziona così: tutte le persone nascono con 46 cromosomi presenti nel nucleo di ogni cellula, 23 + 23, tali cromosomi sono ripartiti in 23 coppie numerate (coppia cromosoma 1, coppia cromosoma 2, coppia cromosoma 3 ecc.) e in ognuna di esse è presente un elemento genitoriale, una caratteristica trasmessa dal padre e una dalla madre.
Una persona con sindrome di Down nasce con gli stessi 46 cromosomi, ma ne riceve uno in più nella coppia cromosoma numero 21, arrivando così a 47 cromosomi. Per questo motivo il nome scientifico della sindrome di Down è Trisomia 21.
Il cromosoma extra può influenzare lo sviluppo fisico, mentale e motorio della persona.





